બુધવારે સવારે બિહારમાં એક દુ:ખદ માર્ગ અકસ્માત થયો. આ અકસ્માત આરા-છપરાને જોડતા વીર કુંવર સિંહ પુલ પર થયો હતો, જ્યાં રેતીથી ભરેલો ટ્રક પોલીસકર્મીઓથી ભરેલી બસ સાથે અથડાઈ ગયો હતો. આ અકસ્માતમાં…
આગ્રામાં બની રહેલી મેટ્રોમાં અત્યાર સુધીમાં 3 સ્ટેશન પૂર્ણ થયા છે. તેની હાઇ સ્પીડ ટ્રાયલ પણ બુધવારથી શરૂ થઇ હતી.આગ્રામાં…
Reliance Jioનો નવો Jio Bharat મોબાઈલ આગામી બેથી ત્રણ વર્ષમાં 100 મિલિયનથી વધુ નવા ગ્રાહકો ઉમેરી શકે છે. જાણીતા BoFA…
યુટ્યુબ ચેનલની આવકઃ એવું કહેવાય છે કે યુટ્યુબ પર સબસ્ક્રાઈબર્સની મર્યાદા વટાવ્યા પછી કમાણી શરૂ થાય છે, તો શું તમે…
વેસ્ટ ઈન્ડિઝ સામેની પ્રથમ વનડે માટે ટીમ ઈન્ડિયાની પ્લેઈંગ 11ની જાહેરાત કરવામાં આવી છે. ટીમમાં ઘણા નવા ખેલાડીઓનો સમાવેશ કરવામાં…
યુપી ટેપ કનેક્શન: યુપી, નળ કનેક્શન પ્રદાન કરવામાં દેશમાં નંબર વન બનવા તરફ આગળ વધી રહ્યું છે, તેણે જાન્યુઆરી મહિનાથી…
માઈક્રોસોફ્ટના ઓફિસ સોફ્ટવેરનો ઉપયોગ ઓફિસોમાં થતા રોજબરોજના કામની વિગતો રેકોર્ડ કરવા માટે વ્યાપકપણે કરવામાં આવે છે. વિશ્વની અગ્રણી ટેક્નોલોજી કંપનીઓની…
કેન્દ્રીય ગૃહ પ્રધાન અમિત શાહે 15 દિવસમાં બીજી વખત ભોપાલ પહોંચ્યા બાદ મધ્ય પ્રદેશમાં મિશન 2023ના રોડમેપને અંતિમ સ્વરૂપ આપ્યું…
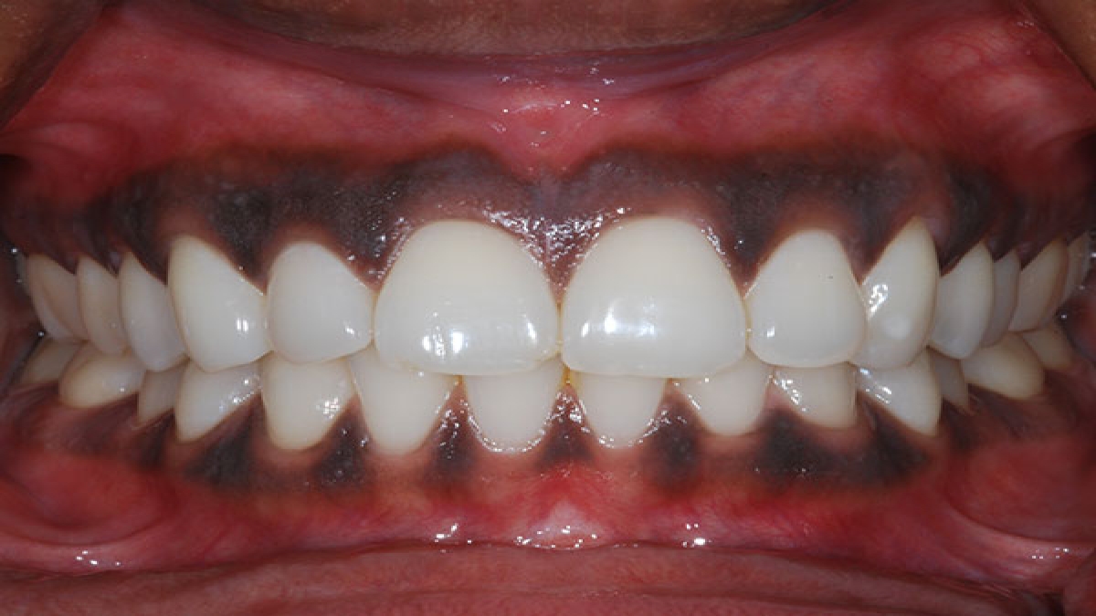
પેઢા સામાન્ય રીતે ગુલાબી હોય છે. પરંતુ કેટલીકવાર તેમના પર કાળા અથવા ઘેરા બદામી ફોલ્લીઓ પેઢા પર ચેપ છે. આનું…
મહિલાઓને હંમેશા એક જ ફરિયાદ હોય છે કે રસોડામાં પડેલા ડબ્બાના ઢાંકણા ઢીલા થવા લાગે છે. જેના કારણે વરસાદની મોસમમાં…

Sign in to your account